Any condition that causes discomfort in your teeth and supporting tissues can be characterized as dental emergency and require immediate concern and treatment.
Paradoxically, dental emergency does not always involve pain although it is a common signal that alarms people, some dental emergencies are painless and still require immediate management

Pain most common issue when people seek dental treatment. Pain originating in oral cavity can be:
ODONTOGENIC PAIN:- Pain is associated with teeth and peri-radicular area. Initially, it is sharp continuous and radiating in nature. In such condition all you need is to seek help of dentist as soon as possible. Dentist will take an x-ray and will explain you the treatment accordingly.
NON ODONTOGENIC:- Pain is associated with other oro-facial tissues. It is generally difficult to diagnose and vary in severity.
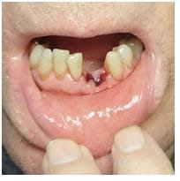
TRAUMA:- Trauma refers to injury to hard and soft tissues in the oral cavity and the face. Generally, more common in children but can occur at any age. It also requires immediate treatment.
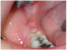
OROFACIAL SWELLING:- Abnormal enlargement of facial tissue caused by infection, inflammation or trauma. It can be intraoral or extraoral. It should be treated as soon as possible as it can be a cause of severe infection.

CELLULITIS:
Bacterial infection in oro-facial region leads to formation of abscess and swelling.
- Pain
- Trismus
- Cervical lymphadenopathy
- Pyrexia
- Malaise
It requires urgent management since it has serious systemic complications.


